Healthy teeth and gums, important to note? From the theory of focal infection that a lot of attention during the 19th century and early 20th century. This theory states that the infection in the oral cavity is responsible for the initiation and progression of various inflammatory diseases such as arthritis, peptic ulcers, and appendicitis. Progress in classification and identification of oral bacteria and germs immunology field, the more convincing the important role of dental infections against various systemic diseases such as heart and blood vessel disease, lung disease, diabetes, stroke, cancer, etc.. It also became increasingly clear that the teeth and oral cavity can become a place of origin for the dissemination of microorganisms that cause disease to other body parts.
Numerous epidemiological studies suggest that oral infection, especially inflammation of the gums (gingivitis) and tooth supporting tissues (periodontitis) is a risk factor for systemic diseases.
The number of bacteria in the oral cavity to reach hundreds of millions. Xiajing Li et al (2000) recorded more than 1011 bacteria in each milligram of dental plaque. Plaque is a kind of mucus which is always attached to the tooth surface. Indeed, not all harmful oral bacteria. Most of it is needed as the normal flora of the mouth. The bacteria that cause dental disease potential, and many are also found in the systemic disease group anaerobic gram-negative bacteria. Among others, P. Gingivalis, B. Intermedius, and A.
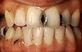
Actinomycetemcommitans. These bacteria dominant on gingivitis and inflammation around the root tip until there is abscess tooth abscess) as experienced by the deceased Leysus.
The number of bacteria in the oral cavity to reach hundreds of millions. Xiajing Li et al (2000) recorded more than 1011 bacteria in each milligram of dental plaque. Plaque is a kind of mucus which is always attached to the tooth surface. Indeed, not all harmful oral bacteria. Most of it is needed as the normal flora of the mouth. The bacteria that cause dental disease potential, and many are also found in the systemic disease group anaerobic gram-negative bacteria. Among others, P. Gingivalis, B. Intermedius, and A.
Actinomycetemcommitans. These bacteria dominant on gingivitis and inflammation around the root tip until there is abscess tooth abscess) as experienced by the deceased Leysus.
Spread Through Blood
Oral bacteria can spread through the bloodstream, called bacteremia. Which can spread the bacteria itself and the resulting toxins (endotoxin / exotoxin).
Several studies on bacteremia is worth listening to. Bacteremia was observed in 100% of patients after tooth extraction, 70% after cleaning tartar, at 55% after wisdom teeth surgery, 20% after treatment of the tooth, and 55% after tonsillectomy.
The study involved 735 children who underwent dental decay, found 9% of children had bacteremia. Other studies have shown the spread of bacteria after treatment of tooth root. And, less than 1 minute after the oral procedure, bacteria from an infected tooth has reached the heart, lung, and peripheral blood capillary system.
In normal oral health condition, only a small number of facultative bacteria and no harm enter into the bloodstream. However, in conditions of poor oral hygiene, the number of bacteria on tooth surfaces increased 2-10 fold. So the chances of bacteremia is also greater. Except through bacteremia, a chain of immunological reaction triggered by an infection in the oral cavity, is another explanation why the problems of the teeth can spread to serious illnesses such as the deceased's death until culminate Leysus
Teeth and gums was not firmly attached, but there is a gap of about 2 mm is called sac gums (gingival sulcus). These regions are most susceptible to bacterial infection and inflammation, causing periodontal disease. The signs are: gums redden, swell, bleed easily, perhaps accompanied by shakiness teeth.
Grossi and Genco (199 revealed 17 kinds of systemic diseases that are directly related to periodontal disease, including diabetes, heart disease, cancer and stroke. Several retrospective studies show, patients with heart disease, stroke, diabetes, general mouth hygiene was poorer than normal patients. From above description can be concluded, that the teeth and mouth can be a trigger and aggravate a variety of systemic diseases.
Maintaining oral health is very important not only to prevent oral disease, but also to maintain good general health. Leysus famous comedian's death, should be a mirror for us all to better care in the 'keep your mouth' and everything in it.


No comments:
Post a Comment